当前位置:首页 > 吃瓜热榜 > 正文

佛山种牙爆料事件最新,揭露行业乱象,患者权益如何保障?

最近佛山那边的种牙事件可是闹得沸沸扬扬的,咱们得好好来聊聊这个话题。你有没有想过,一颗牙齿的种植竟然能引发这么大的波澜?那就让我带你一探究竟吧!

一、事件背景

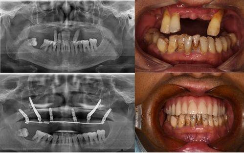
话说佛山某知名口腔医院,最近因为种牙事件被推上了风口浪尖。原来,这家医院在种植牙的过程中,竟然出现了不少问题。患者们纷纷表示不满,于是,一场关于医疗质量和医患关系的讨论就此展开。

二、患者爆料

据患者们反映,他们在种植牙的过程中,遇到了种种问题。有的患者表示,医生在手术过程中操作不规范,导致种植牙失败;有的患者则抱怨,术后恢复期过长,而且效果并不理想。更有甚者,竟然出现了种植牙植入后,牙槽骨吸收的情况。

三、医院回应

面对患者的指责,这家口腔医院也做出了回应。他们表示,对于患者反映的问题,医院高度重视,已经成立了专门的调查组进行调查。同时,医院还承诺,将对所有涉及问题的患者进行免费复查,并给予相应的补偿。

四、行业监管

这起事件也引起了相关部门的关注。据知情人士透露,当地卫生部门已经介入调查,对这家口腔医院进行了全面检查。检查结果显示,这家医院在种植牙过程中确实存在一些不规范的操作。目前,相关部门已经对该医院进行了处罚,并要求其立即整改。

五、患者维权

在这起事件中,患者们也积极维权。他们通过社交媒体、网络论坛等渠道,呼吁更多人关注这个问题。同时,患者们还自发组织起来,向有关部门提交了投诉材料,要求严惩涉事医院。

六、专家观点

对于这起事件,口腔医学专家也给出了自己的看法。他们认为,种植牙是一项高风险的手术,需要医生具备丰富的经验和专业的技术。而这家口腔医院在种植牙过程中出现的问题,反映出我国口腔医疗行业在规范化、专业化方面还存在不少问题。

七、反思与启示

这起佛山种牙事件,给我们带来了不少反思。首先,医疗行业必须加强规范化管理,确保医疗质量和患者安全。其次,患者要提高自我保护意识,选择正规医院和有资质的医生进行手术。社会各界也要关注医疗行业的发展,共同推动医疗事业的进步。

佛山种牙事件虽然已经引起了广泛关注,但我们不能就此止步。只有通过不断反思和改进,才能让医疗行业更加健康、有序地发展。而对于那些受到伤害的患者,我们也要给予更多的关爱和支持。毕竟,健康是人生最大的财富,谁都不愿意因为一颗牙齿而痛苦不堪。

最新文章